
唇ケアーは今まで体感したことない動きで唇が吸われてる?何だろって不思議。
歯が白く、唇ぷっくりで本当に気分が上がります!人とお話しするのも楽しいし、きれいになったと言われ優越感!

ホワイトニング時間も気にならず痛みも不快もなかった。
希望するとヘッドフォンで音楽を聞きけて瞑想できちゃいました。
こちらは、メニューにはないですが、結果を出すために 個人用にアレンジしてくれますので嬉しいサービスだと思います。

2度目の利用で今回は、最後にヘッドマッサージもしてもらいました。
とにかく、気持ちいいし、心地よい
結果はもちろん歯科衛生士さんならでは治療のアドバイスもしてもらって、長年の悩みがスッキリと解消しました
<感想>
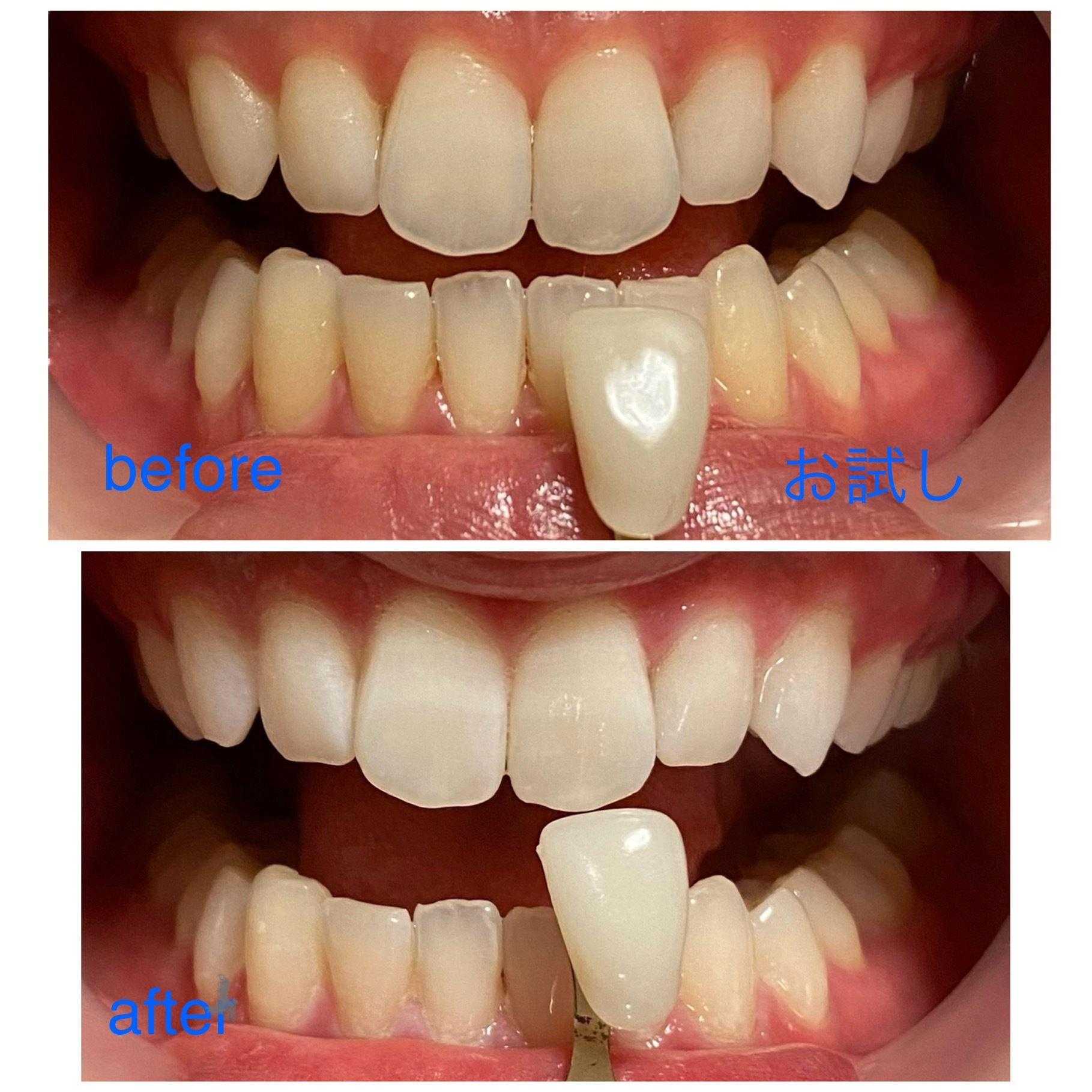
・本当に白くなりました!ちょっと不安もあったのですが、思った以上に白くなって嬉しい。大大満足!
・信じて良かった。さすが歯科衛生士さん、ホワイトニングのコースメニューを私の歯に合わせて作ってくれてちゃんと白くなりました。他ではない。出来ない。と思います。
・歯が白くなるだけでなく、唇がふっくらとします。乾燥した唇もしっとりぷるん。となり鏡を見るのが楽しい。
・唇がぷっくりした感じ。
最後の美容液がよいのか?夜と翌朝にもっちりを実感しました。
・歯の色くすみが取れ、顔が明るく若くみえました。毎日のモチベーションが上がりました。
・真っ白という感じではないですが、かなり白くなり、普段変化に気づかない旦那も変わったね、いいなぁ。 と気づいてくれました。
・昔、保険で治した歯の変色も改善されて満足してます。自分も前向きになれました!
・夜、翌日に唇のぷるん。に気が付きます。
・色はもちろんですが、歯も舌ざわりがツルンとして満足です。
・諦めかけていたホワイトニングですが、onwhiteさんで実現することが出来てとても、とても嬉しいです。 これからもキープしたいので続けます。丁寧にカウンセリングしていただいて安心してお任せできました。


ホワイトニングは興味があったのですが、いろんなホワイトニングがあってどれがいいのか?ほんとに白くなるのか?どのくらいもつのか?わからなかった私ですが友人からの紹介でOn Whiteさんを紹介してもらい利用させてもらいました。歯医者よりも安くて、結果もちゃんと白くなりました。
やっぱり、歯科衛生士さんはプロですね。

ホワイトニングをしたことはあったけど、あまり効果がなくて、でも色が気になるし、どうにかしたい。と思っていたら実績のある方、といことで聞いてみようと来店してカウンセリングしてもらいました。
本当に丁寧に分かりやすく説明していただき、ついでに歯の治療相談ものってもらいました。歯医者に行くべきか、何処のは医者がいいのかも分からずモヤモヤと時間が過ぎていましたがモヤモヤが取れました。
しっかりとお口を整えていこうと思います。もちろんホワイトニングもやります!

ホワイトニングをしつつ、歯のプロにお口と中の相談ができるってこんなお店ない。見つけて嬉しい。いつもへ~そーなんだぁ~という事を教えてくれるのでありがたい。丁寧だし、とにかく気持ちがイイ!
自己肯定感も上がり、本当に毎日がハッピー。早くやればよかったです。

こちらに来るといつもあっという間の1時間。心地よくて、後半は寝ちゃいます。
長持ちさせるアドバイスもしてくれるので、コスパ最高だと思います。

他できっとないと思いますが、とにかくカウンセリングがしっかりとしていて、出来ること、出来ないことリスクも含めはっきりと説明してくれて、その中でどういう方法が良いのかを話してくれました。説明もとても分かりやすので納得してコースを決めることが出来ました。













